絶対に笑ってはいけない女王エリザベス1世
砂糖で歯磨き!
時は大航海時代。「太陽の沈まぬ国」スペインから覇権を奪取するため、自国の海賊とも手を組んでまで国家の繁栄を図ったのが女王エリザベス1世です。
植民地奪取によりイングランドの貿易は活発化し、世界各地のエキゾチックな高級品がもたらされるようになりました。
特に西インド諸島で取れた砂糖の甘さはヨーロッパ人を魅了しました。上流貴族の間では、果物のシロップ漬けや甘いお菓子が流行し、虫歯が一挙に広まったようです。当時、砂糖はぜいたく品で、富裕層しか口にできないものでした。
当時は甘いものが歯に与える影響についてはわかっていませんでしたが、歯ブラシはありました。一部の貴族は歯ブラシに砕いたサンゴやローズマリーの葉の灰や尿を使って歯を磨いていました。
ところが、エリザベス女王は歯磨きにまで高級な砂糖を使っていました。美味しい歯磨きに有頂天になっていたそうです。


笑顔を見せれなくなった女王
ドイツからの使者が1578年にエリザベス1世に謁見した時の、「女王の歯が黒かった。おそらくイギリスでは砂糖がよく使われているせいだろう」「砂糖を大量に使うイギリス人にありがちな欠点のようだ」という報告が残っているという。
女王は20代からむし歯が多く、40代になるころには多くの歯は崩壊し、残った歯根部が黒く変色した状態となったようです。
それでも砂糖を多く摂取する生活と、砂糖による歯磨きはやめませんでした。
たちまち女王の晩餐会の咀嚼は見世物となり、女王の黒い歯は「血を流す野原に立つ生気のない杭」と言われるまでになりました。
ちょっと横道にそれますが


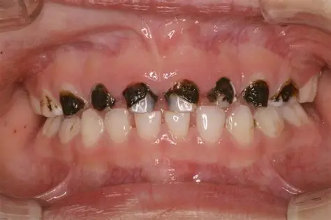
女王は左のような根までむし歯が進んでいる状態だったのでしょうか・・・
気を付けて見ていただきたいのは右図です。
こちらはサホライド治療を受けた乳歯の様子です。
サホライドはフッ素と銀イオンの力で強力にむし歯の進行を食い止める薬です。
意思疎通のできない方・子への治療、手が不自由になり予防困難な場合の救世主になる薬です!
有効成分のフッ素や銀イオンは、公害にもなる有機フッ素化合物(PFAS)や有機水銀とは全く別物です。
巷では混同されることもあると聞きますが、字面だけで安直に危険と判断するのはあまりにも浅はかです。
また、「見た目が白くきれいであることが一番大事である」という考え方も安直だと言えます。
グチャグチャに腐っている所に樹脂をつけて見た目を取り繕っても細菌が中で繁殖するだけです。
サホライドで細菌の侵入を抑制できる黒い状態に持っていく事で、子供の場合には知能の発達への時間を稼ぎ健全な永久歯への交換を図ったり、ご高齢の方には歯が根元から折れるのを防いでくれるのです!
奈良時代から続いたお歯黒という伝統の素晴らしさは歯科医師だからこそ感じるかもしれません。パルテノン・スキャンダルにも代表される考え方に惑わされない事が大事だと考えます。
どうしても抜歯できなかった女王

女王は歯痛に大変苦しんでいたとされますが、どの肖像画でも、この絵のように口を固く閉じています。虫歯だらけの歯を見せてしまう事は、当時の男性中心の社会で弱みを見せてしまう事になることを恐れたのかもしれません。
治療するとしたら当時はまだ抜歯するしかありませんでした。
予防する手段として考えられたのは、ローズマリーの葉の灰や研磨剤を歯にこすりつけるなど、幾つかの方法です。特に歯を白くする、危険で究極の治療法は、歯をぼろぼろにしてしまう硝酸を使ったことでした。紳士達の間では帽子につまようじをさす習慣がはやりました。
1578年の12月、女王は昼夜を問わず歯痛にひどく悩まされるようになりました。医師たちは虫歯を抜くことを勧めましたが、女王は拒みました。おそらく痛みを恐れたのでしょう。
女王を促すために、ロンドンの主教ジョン・エイルマーは、自分の歯を1本、女王の目の前で抜いてみせました。
それは勇敢な行為でした。この老人は、歯がわずかしか残っていなかったからです。そうしてやっと女王に歯を抜く決心をさせたといいます。
歯の痛み・抜歯の痛みを抑えるお守り
エリザベス1世の治世である16世紀頃から、中世における殉教者聖アポロニアの肖像画が描かれるようになりました。

聖女アポロニアは、ローマ帝国時代のキリスト教徒で、殉教後に聖人に列せられた、歯の守護聖人です。左の男は彼女の頭を押さえ、右の男は歯を抜く道具(抜歯鉗子)で抜歯しようとしています。
アポロニアが生まれた時代は、ローマ皇帝デキウス(201-251)が、在世中、国家宗教の復興を図りローマの神々への祭儀を命じましたが、キリスト教徒が彼の命令に従わなかったため大規模な弾圧を行っている世の中です。
そんな中、エジプトのアレキサンドリアでローマ長官の娘としてアポロニアは生まれました。彼女は長官の娘でありながら、民族の差別を超越した人類愛を説くキリスト教に共感し、信仰しました。
こともあろうにアレキサンドリアでは、ある予言者が「キリスト教の信仰によりエジプトの神々が怒っている。天変地異が起き悪疫が流行する」と言い出しました。
この扇動により狂った暴徒は、次々にキリスト教徒に迫害を加え、年若いアポロニアも捕まえ、謝罪と改宗を迫りました。
アポロニアはイエスへの強い忠誠を誓い続けるのみ。
怒った暴徒によりアポロニアの顎の骨は砕かれ、1日1本ずつ歯を抜かれていきました。
彼女は、不敬な詩を暗唱するように強要されるも応じず、最後には立ったまま火あぶりになりました。
「歯の痛みに苦しむものは私の名前を唱えなさい」と語りながらと伝えられます。
このようなことからアポロニアは歯痛に悩む人々の守護聖人とされ、その殉教を題材とした絵画や彫像が数多く残されています。エリザベス1世も彫像を握りしめ、「アポロニア」と唱えていたんではないでしょうか?
そもそも色々あった王位継承
エリザベス1世の父ヘンリー8世は、レコンキスタで有名なイサベル女王の娘キャサリンと結婚しましたが、無事に成長したのはメアリーだけで、健康な男子をもうけることはできませんでした。
王妃キャサリンにこれ以上期待できない状況となりました。選択肢は他にもありましたが、王位継承権を主張してくるライバル貴族を抑えられる可能性が一番高い選択肢は、王妃と離婚し新たな王妃を迎えるというものでした。
そこで彼は離婚が禁止されているカトリックを捨て、イングランド独自の国教会まで創設しました。(当時のプロテスタントの時流に乗ってのこともあったかもしれません)
彼と愛人関係が噂されていた侍女のメアリー・ブーリンは小柄で成長が遅れており、ヘンリー8世が生きている間に子をもうけることは難しいように見えたこともあり、妹のアン・ブーリンと結婚をし、エリザベスが誕生しました。しかし、その後も男子を授からず。
ヘンリー8世は結局6度の結婚をしましたが、1547年55歳で亡くなり、男子はエドワード6世のみで、そのエドワード6世も6年の治世で若くして病気で亡くなってしまいました。
継承権はエリザベスの異母姉メアリーへ。
メアリーはカトリックに敬虔な母方の影響を受けており、夫も後の神聖ローマ皇帝となる予定のフェリペ2世を迎えました。
しかし、子供をもうけることはできず5年の治世で病気で亡くなってしまいました。
そして王位はエリザベスに。
↓家系図でわかりやすく関係を説明されています(by melchangmelさん)

なぜ継承を途絶えさせる道を選んだのか?
「私はイングランドと結婚している」
この言葉が示す通り、イングランド女王としての責務を全うすることに全力だったと想像します。
政略結婚により再度の宗教戦争となる可能性を嫌ったのかもしれませんが、真実はわかりません。
エリザベス1世は、宗教的にもバランスの取れた運営をし、自国の海賊を使ってまで覇権を握っていたスペインから制海権を奪取するなど、国王として力強いリーダーシップを発揮しました。
経済的には重商主義政策で、東インド会社に特許を与えるなど貿易で巨万の富を生み出しました。
日本ではそのころ江戸幕府が成立します。
命を蝕んだ死の化粧
女王は29歳の時に大流行していた天然痘に罹患してしまい、顔には醜い痘痕が残ってしまっていました。
彼女は女王としての誇りを維持するため、おしろいの様に徹底的に白く塗り固めました。
ファンデーションとして使用されたのがベネチアンセルースです。ヴェネツィア産の最高級鉛白を酢と混ぜて作られました。
同様に、漂白剤、ヒ素、硫黄はそばかすやその他のシミの治療に使用されました。
深紅の口紅には水銀が多く含有されており、赤毛のカツラにも同様に水銀が使用されていました。

年月とともに鉛が女王の顔を腐食させ、シワだらけにしていくため、彼女はさらに厚く塗り重ね、晩年には2.5cm程度の厚化粧になっていたようです。
口紅やカツラに使われた水銀の影響は精神衛生の悪化をもたらしました。
医師の診察を拒むようにもなるほどにうつ状態にも・・・
継承者問題のストレスは想像を絶するものだったことでしょう。
1603年、鉛による免疫力低下も相まってか、肺炎になり亡くなりました。
もし父親のヘンリー8世が男子にこだわらなければ・・・
もし女王が白さにこだわらなければ・・・
ifを考えると、歴史はまさに偶然の産物でしかないのでしょう。
産業革命の下支えとなった東インド会社

エリザベス1世の死後、イギリス東インド会社はオランダとの植民地争奪戦で躍起になっていきました。
砲艦外交を行いながら、あくまでも株式会社という形をとった帝国主義のやり方は、まさに狡猾と言えます。
江戸幕府が鎖国政策を取らなければor取れなかったら、どんな植民地政策を施されたのでしょうか。
植民地化された江戸もしくは日本が、
宗主国イギリスと戦うためにアメリカと組み、太平洋戦争にも至らない道もあったのかもしれません。
あるいは日本が共産化したかもしれませんね。
はたまた、スターリング=ブロック下に入ることにより、対抗しようとしたアメリカは中国の共産化を本気で防ぐ手立てをしたかもしれません。妄想が過ぎますね(笑)
大日本帝国にも東インド会社のような狡猾さがあれば…
そんな手ごわいイギリスとの交渉で思い出されるのが、ロンドン軍縮会議の予備交渉での山本五十六です。そこでの新資料が発見されたことで山本五十六の見方が変わった方もいるかもしれません。
そこから彼の胸の内に思いをはせるとともに、止められない空気感(米ソの暗躍が疑われる)というものも感じることができるのではないでしょうか。
また、軍縮と言えば、2019年にトランプ政権がINF(中距離核戦力全廃条約)から離脱し、ロシアも追従しました。これは何を意味するのでしょうか…

