かみ合わせ治療

当院にお越しの方の中には、今まで歯科治療に不安があり、やむを得ず食事を制限しながらやり過ごしてきたという方がいらっしゃいます。今さら遅いから諦めてきた我慢できる範囲だし,,,とおっしゃいます。しかしいよいよ痛さも噛めなさも限界となり、本当に仕方なく来ましたとおっしゃいます。
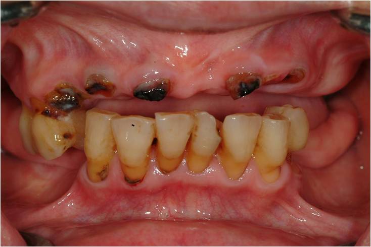
上の方の患者さんが感じる問題点は、
- 上の前歯がむし歯ですべて折れてしまった事(見た目)
- 奥歯がすべてかみ合わない事(機能)
- 残っている歯が伸びてシミてしまっている事(痛み症状)
- しゃべりずらくなっている事(発音)
そこで歯科医師の私が診る問題点は以下になります。
①腐食してしまった歯が歯ぐきの中に埋まっている
むし歯や歯周病の原因菌は血中に入り込み、知らぬ間に全身をむしばみます。目に見えなく健康診断でも見落とされますので、原因となる細菌は除去することが病気の予防となります。つまり黒くなってしまっている根は抜歯する必要があります。
ここは特に私が重要視している視点で、周りの骨を吸収しないように保存を勧められる場合もあるようですが、私は身体全体の健康の比重を高めた判断をしたいと思います。

②シミる症状が出ている歯の神経の治療
シミる症状が強い場合噛むこともできなくなります。また歯ブラシを当てずらくなるため清掃状態が悪くなります。必要に応じて神経を取る処置が必要となります。

③残っている歯がぐらついている
動いてしまうほど歯周病が進行しているということは、既に無くなってしまっている所をこれから永く支えることはできません。さらに根の先まで歯周病菌が侵入しているはずなので、それを取り除くことは不可能となりますので、総合的に考えて抜歯となるかもしれません。

④下のあごの骨が吸収してしまっている
骨が残っていないところに入れ歯やインプラントを入れることは難しいことです。入れ歯が痛んだり、インプラントが安定しない原因の多くは残っている骨が少ないことによります。インプラントの場合、骨や歯肉を足す手術を施します。入れ歯の場合は、庄面積を大きくしていきます。

⑤そして、かみ合わせのラインの不均衡です。

上記のようにかみ合わせがガタついているまま最後の補綴治療つまり入れ歯やインプラントを入れてしまうと極端に持ちが悪くなってしまいます。歯がある程度正しくかみ合っているうちは簡単ですが、習慣的に誤った位置で噛んでしまっていると厄介です。当院では中心位という顎が安定する位置に重点を置き、治療計画を立てていきます。
歯が多く残っている方で、特に症状を感じていない方でも、かみ合わせが悪い方がいらっしゃいます。今後起こってくる事として考えられるのは、歯牙破折、むし歯、部分的急速進行性歯周病、冷水痛、歯髄炎、根尖性歯周炎、歯根破折、詰め物被せ物の脱離・二次カリエス、顎関節症、頭痛、肩こり,,,挙げるときりがないほどです。
奥歯のかみ合わせがしっかりしている方には
◦若い方には犬歯が横ずれを防止する様な咬合(犬歯誘導)を基本とします。嚙む力も強いため、奥歯や顎に負担がかからないように、顎から距離があり、歯根が最も堅固な歯牙である犬歯中心の咬合が全体のバランスを整え、健康的な口腔環境の維持を可能とします。
◦ある程度年齢が高い方には奥歯4歯に負担を分散する様な咬合(グループファンクション)を基本とします。顎の力もピークを過ぎ、顎関節の形態も横にずれやすくなっていきますので、それに合わせて臼でこねるような食べ方に適した嚙み合わせとすることが大事です。ただし、大臼歯の歯周病進みやすい方は犬歯のガイドが必要となります。
※かみ合わせに問題があったとしてもトラブルが起きる可能性が低い場合は特に治療する必要がないと考えます。例えば、大臼歯2本が異常に揺さぶられてしまう等あった場合、矯正治療や犬歯の詰め物・被せ物の治療をご提案する事になると思います。
※見た目の改善のみを目的とした矯正治療は正直勧めておりません。例えば上の側切歯のみが反対咬合の方は結構いらっしゃいます。かみ合わせとしてはそこでロックしている形となるため、顎の横ずれはほとんど無い状態となっています。そこで見た目改善のために側切歯の反対咬合を直してしまうと、顎の動きに制限が無くなり、頭痛や不定愁訴の原因となってしまう事もあります。
奥歯のかみ合わせが無くなってしまった方には
今まで噛んでいた位置を残っている歯から再現することが不可能なってしまっているため、中心位という顎の位置を元にしたかみ合わせの位置を基準とし、そこで多くの歯が接触するように(咬頭嵌合位)被せ物や入れ歯を作製します。
中心位とは、下の顎が最も後方に下がった際の顎関節部における下顎頭の位置です。
嚙み合わせでトラブルのある方の治療をする際には、この位置での嚙み合わせを構築すると良好な結果を得られるという事が世界的なコンセンサスとなっております。
また、特に広範囲の入れ歯で重要となってくるのが大臼歯部の嚙み合わせです。
大概のトラブルは大臼歯部の咬合が咬耗や習癖により低くなってしまい、前歯に負担がかかる状態になっている事に起因します。
ですので、まずは今お使いの入れ歯を修正しかみ合わせの位置を徐々に正常な位置に戻したのち、新しい入れ歯を作っていく事となります。
落ちてしまう入れ歯も大臼歯部に材料を足すだけで吸着するようになる事も多いです。また、内面を削らなくても咬合関係を改善させるだけで痛くなく噛めるようになったりします。
篠宮義歯研究所との連携
日本大学技工士専門学校の講師も務める代表の篠宮直人先生との連携により、極端に顎骨吸収した方の入れ歯作製や、残存歯に負担の少ない部分義歯の作製に力を入れております。こういった難しい方々の治療を行っていると、すべては咬合なんだなぁとつくづく実感いたします。
特に力を入れているのが模型分析です。こちらはIBA 3Dサベイヤーという装置です。これを用いて模型分析を行うことにより、3次元的に入れ歯の着脱方向を決めることができ、残存歯に対する負担を軽減する事ができます。
この装置は全国でも導入されている数が2万件の内100件程度(約0.5%)と大変珍しく、精密な治療の要となっております。単にきつい入れ歯のバネは残存歯の抜歯装置となりますので、注意が必要です。

当院ではまず精密なレントゲン撮影や歯周治療を行い、ベースを整えたうえで咬合分析用の型どりをし、それをもとに最終的な型どり、補綴物の作製という流れとなります。
葛飾・足立地域で20年近く臨床を経てきたため、義歯経験が豊富ですのでぜひご相談頂きたいと思います。
