入れ歯・ブリッジ

入れ歯・ブリッジによる治療

被せ物・ブリッジによる治療



日本人の歯並びは特徴的です。顎の成長が鈍い傾向にあり、顎の角度が欧米人のように直角にならず、はえそろうスペースが少ないです。そうなると下の奥歯は斜めとなり、垂直的にしっかりと噛むことができなくなります。例えば下の一番奥の歯にセラミックやジルコニアのようなエナメル質よりも硬い素材で修復したとしたら、斜めの力が強くかかり続けることになります。

その負担は徐々にその歯自体や、対合歯、顎関節にきます。(ジルコニアはダイヤモンドに匹敵する硬さで、エナメル質の3倍の硬さです)

割れにくいからと言って安易に奥歯に硬いセラミックを入れるのは危険と考えます。

現代人はスマホ・PC作業が多く、無意識にくいしばりをしやすい生活習慣で奥歯に負担がかかり易いという事も重要なファクターです。


意外と思われるかもしれませんが、大臼歯であればゴールドの詰め物や被せ物を入れている事が多いです。なぜでしょう?

何といっても歯に優しい素材だからです。天然の歯は、加齢とともに徐々に削れて行きます。ゴールドはそれと同じように寄り添うように適度に削れてくれるのです。

セラミックやジルコニアは削れません!なので対合歯だけが削られていきます。2歯分の削れが1歯にかかっていくのです。

銀歯を選ばないのはまた違った理由で、ゴールドより適合が少し悪いからです。

前歯や小臼歯までであれば負担もまだ少ないし、見た目も重要なので歯科医師もセラミックを入れることが多いように思います。

私が思うにセラミックの良さは表面のつるつるが永続するため、むし歯菌や歯周病菌がくっつかなくなる事だと思います。メンテナンスの患者さんのお口を拝見すると、保険の樹脂の冠の周りにはプラークがべったりくっつついている事が多いです。それでは再度むし歯や歯周病が進行するのは目に見えています。

何を入れるかでその歯だけでなく、お口全体の予後も変わっていきますので、素材選びは慎重に考えていただきたいと思います。


ブリッジも入れ歯も他の残存歯に負担を増やすため基本的に第一選択ではありません。それはインプラントができる前の技術だからです。私が例えば大臼歯1本をむし歯で喪失したらインプラントを入れると思います。ただし、もし介護状態が迫っている条件でしたら入れ歯を入れます。費用の工面が厳しく、どうしても保険内の治療という事であればブリッジか入れ歯を入れます。

絶対に入れ歯が嫌だ!グラグラな歯をつなぎ合わせて10本以上のブリッジを入れている方もいらっしゃいます。しかしグラグラという事は内部に細菌を残している事と同義なため、近いうちに総崩れとなる危険性をはらんでおります。なるべくやめましょう。部分入れ歯への適応もないまま一気に総入れ歯となるとその適応への苦労は段違いとなります。以下の写真の場合ではもっと早い段階でインプラントをキーポイントに埋入するか、部分入れ歯を入れることをお勧めします。

入れ歯による治療



私の患者さんでも、身内の中にも入れ歯で何でも食べられるから苦労していないと言う方も中にはいます。正直に言うとそれはむしろ少数派です。若くしてむし歯を抜歯していった方などは残った骨がしっかりしており、入れ歯の安定度が良好になる傾向になったりします。

しかし通常は天然歯と比較し、部分入れ歯の場合では3~4割、総入れ歯では1~2割に咬合力が減少することがわかっています。先ほどの何でも噛めると言っていた方々は、元々もっと噛めていた可能性があります。加えて、入れ歯の下の骨は、たとえピッタリと適合した義歯を付けていたとしても下顎の場合年間0.4mm吸収します。10年で4mmと言えます。条件は年々加速度的に悪くなっていきます。

下顎の総義歯を入れる場合、世界的なコンセンサスは犬歯相当部に2本インプラントを入れ、オーバーデンチャーとすることです。

なぜ前方部にインプラントを入れるかというと、入れ歯での咬合は前歯での咀嚼が苦手です。上の前歯は前方に傾いており、そこで力を加えられると入れ歯が前方に回転し、外れる方向に作用します。何年もその状態を繰り返していると、前歯部の庄下粘膜に異常をきたし、フラビーガムと呼ばれるぶよぶよの組織となります。そのフラビーガムは義歯作製時に模型に再現することが難しいため、歯科医師にとって難敵であり、入れ歯の精度を下げます。

入れ歯は骨の吸収を伴うため、永続的に使い続けることはできません。定期的に材料を足すか、あるいは作り直す必要があります。そのため再作製の時にフラビーガムの状態ですと、配慮なく作製すると前に作ったものよりも出来が悪いものとなってしまいます。

また、日本人の歯肉は特に厚みが薄く、さらに下顎前歯部は歯肉も骨も薄い状態となっている事が多いです。その部位にに負荷をかけない設計ですと、前歯で噛んだ時に必然的に下の入れ歯が後方に滑るように回転します。奥歯の方は浮いてくるのです。そこに食べ物が入り込むと痛みを生じます。

つまり何でも噛めるとおっしゃっている方々は、無意識に工夫をして食事をしている可能性が高いのです。ご高齢の方々は謙虚な方々が多く、大丈夫とよくおっしゃいます。我々歯科医師がその言葉に甘えてしまうと、理想形を見失いかねません。あくまでも現在の理想形はインプラントオーバーデンチャーであることを頭に置き、費用的にあるいは全身状態的に厳しい場合にはシンプルな総義歯をいかに工夫して作製していくかという事になります。

上の入れ歯の作製

上の入れ歯は基本的に噛める状態にすることができます。入れ歯は口腔内の水分の表面張力により吸着します。上顎の厚めの歯肉に下の奥歯からの垂直的な圧力が安定的に加わることにより押し付けられて吸着します。

なので難しくなる方はシェーグレン症候群などにより唾液の分泌が少なくなってしまっている方々です。その場合は保湿剤を塗っていただく等の工夫が必要となります。

また、奥の方が過敏で入れ歯の形を馬の蹄のような形にしないと嘔吐反射で入れていられない方も中にはいらっしゃいます。その形ですと入れ歯の面積が小さくなりますので表面張力が極端に減少します。50代で総義歯、嘔吐感から馬蹄形の総義歯を希望され、インプラントの手術はしたくないとおっしゃっていた患者さんは、10年間入れ歯安定剤を使い続け、べたべたの溶けてくる安定剤の中食事を続けていくという方もいらっしゃいました。入れ歯安定剤の費用もばかになりません。60代になり鋭敏さが減少したためか、全面を覆う義歯を作ってみたところ 安定剤の全くいらない義歯となりました。

同じように後方をくり抜く必要があるのは口蓋隆起の存在です。口蓋中央部に骨の盛り上がりがある方はそこが歯肉が薄く当たってしまうと痛みを生じるため、馬蹄形に避ける形にせざるを得ない場合もあります。口蓋隆起を外科的に切除することも可能ではありますが、正直インプラント治療よりも骨が硬くて大変です。

それ以外としては上述の前歯部フラビーガムにより不安定な義歯となり、完全に大臼歯部のみでしか噛めない状況になる方もいらっしぃます。あまりにも状況が悪い場合はフラビーガムの切除をし、安定する状態に戻していく事もあります。

以上が難症例と言われるものとなりますが、咬合がきちんと付与されていれば、下の入れ歯に比べると上手くいくことが多いです。

難しい下の入れ歯の作製

そもそも覆える面積が上顎の面積の半分以下となるので、得られる表面張力も半分となり動きやすいです。下顎の骨吸収は上顎よりも進みやすい特徴もあります。
さらに顎を動かす咬筋、口唇・頬を動かす口輪筋・頰筋、そして舌により、義歯を外れる方向に動かします。
それらの筋肉の動きを邪魔しないような形にしておきながら、時にそれらの筋肉の力を利用して安定させる方向に持っていく形にする事が出来ると使い心地のいい義歯となります。
具体的に言うと、前歯の根元付近を凹ませる事により口輪筋による押さえつけ、内側後方は
舌側面の上に舌が乗るような丁度いい形にする事、それと拮抗するように頬の筋肉で押さえる等です(デンチャースペース理論)。

噛むときの圧力を負担する部位で一番大事になるのが後方にあるレトロモラーパッドと言われる部分です。そのため後方が短い義歯は噛めなくなるので、パッと見で不具合が起きているのがわかるのです。

それでも上手くいきにくい下顎総義歯

日本人の噛み合わせは特徴的と最初に述べましたが、歯を失った後もその影響は残ります。
一番奥の歯が斜めにはえやすいと言う事は、歯を支えていた歯槽骨の形態も斜めになっているという事です。
垂直的な力をかけられれば入れ歯は機能しやすいですが、前方に傾斜した形で歯槽骨が残っていると、入れ歯は前方に滑ります。
それを抑えるには義歯の噛み合わせで滑らないように持っていく工夫が必要となるのです。
本来あった位置・角度に人工の歯を戻すのでは機能しないため、もはや矯正治療をしているようなものです。

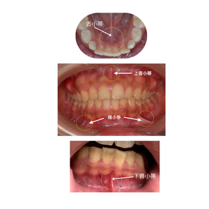
他に下顎総義歯の作製を阻む物としては、3種類の小帯の存在です。前歯部中央にある下唇小帯、小臼歯部にある頰小帯、舌の前方付け根にある舌小帯です。それらは靭帯のような物で、筋肉が動くたびにこのヒダが動くため、入れ歯に引っ掛かり痛みと脱落方向に作用します。そのため、このヒダを切開・縫合して入れ歯の邪魔にならないようにする処置をしたりもします。

また、歯周病でグラグラになってしまっている歯をヘタに残す事で歯槽骨の吸収をより促進させ、入れ歯になってから、細く尖った歯槽骨の残りのせいで入れ歯に当たりが出て、食事に苦労する方もよくいらっしゃいます。
これは歯科医師の責任でもあると常々思うわけですが、実際にグラグラだけど痛みもそれほどないのでなんとか残して欲しいという患者さんの切実な訴えに迎合してしまい、先を見据えた治療を放棄している結果だとおもいます。
細菌の全身への影響を考慮しても、無理矢理残すという判断は間違っています。
また歯周病末期の歯は、生体から拒絶されるように上に伸びていきます。
これにより本来の噛み合わせと違うバランスの悪いガタガタの歯並びとなるのです。
その状態で作製しても義歯は上手くいきません。

終末歯列という考え方がアメリカ補綴学会からの提唱であります。
何を重視するのか…一番は噛める事
そのバランスを崩す要因となる、あるいはこれからなりそうな可能性が高い歯は例えむし歯が酷くなくとも積極的に抜歯し、物理的な安定を目指す方向に舵を切って治療計画を立てて行こうという事です。

当院での取り組み

ここまで読んでいただいた方は入れ歯で相当苦労されていると思います。

当院での義歯治療において工夫している事は、

  • 義歯の大家と言われた塩田博文先生の軟化パラフィンワックス法を用いて咬合採得を行います
  • 東京医科歯科大学高齢者歯科教授水口俊介先生に教え賜った上下義歯のフルバラスドオクルージョン、リンガライズドオクルージョンを患者さんによって使い分けて用いる
  • 日本大学技工士学校講師である篠宮義歯研究所の篠宮直人先生と連携し、部分入れ歯では残存歯に負担は少ないが安定する設計、総入れ歯では噛みやすさにこだわった作製をしています

私は20年近く葛飾・足立区で治療をしてきて入れ歯の経験が豊富です。入れ歯は治療の経験がないと全く触れない分野だと思います。苦労されている方はぜひ当院にお越しください。